初识初级精母细胞
2025-12-23 02:36 来源:贴说网 点击:
初识初级精母细胞
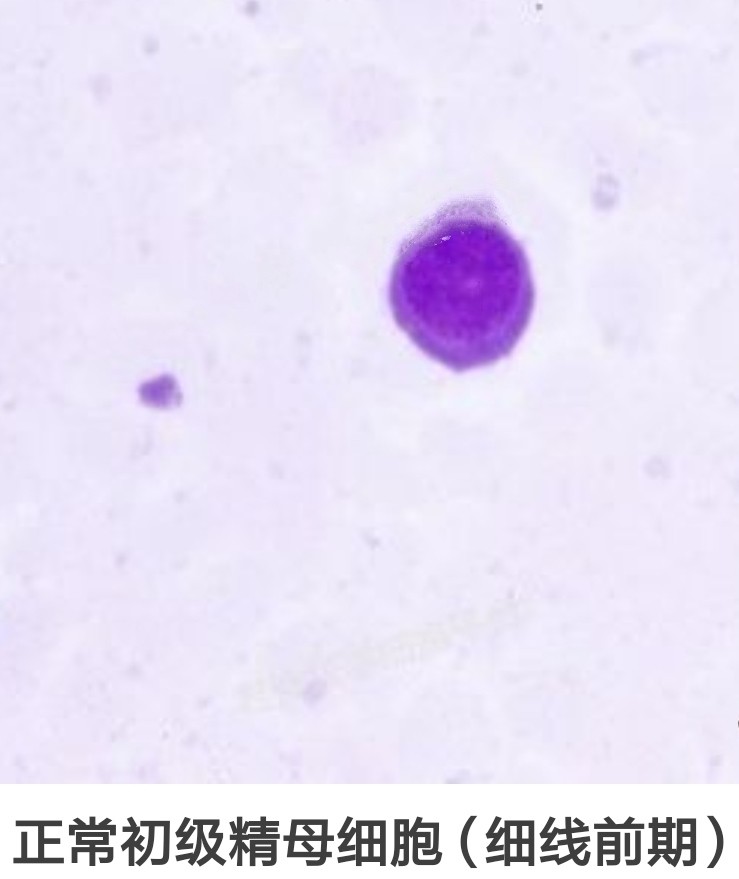
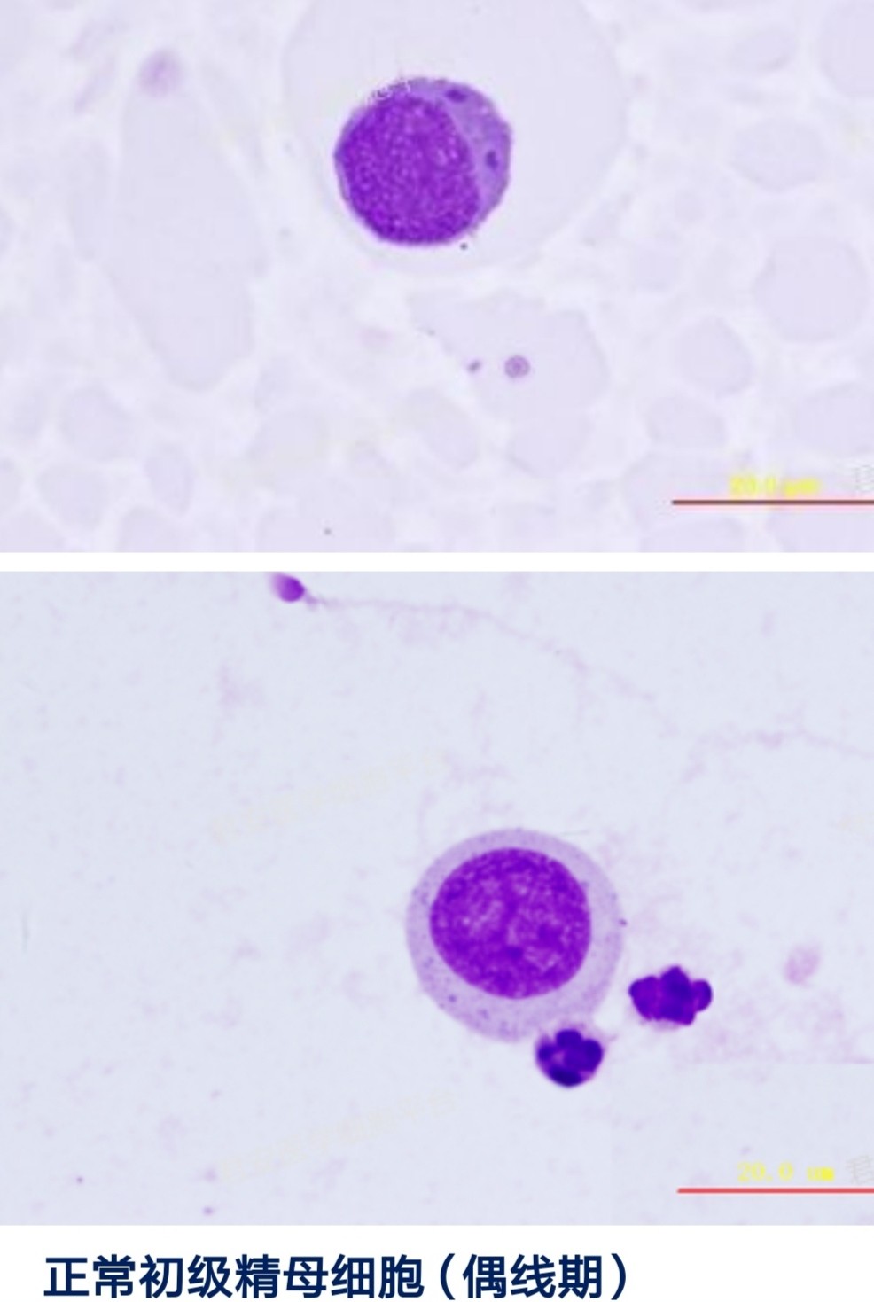
胞体直径为7.0~16.5μm,胞核7.63μm,胞体.呈圆形或椭圆形,胞核常偏于一侧,大小不一,占细胞1/6~2/3以上。胞浆染浅蓝色,有时可见空泡和细颗粒。


胞核染紫红色细颗粒状或粗颗粒状,根据核染色质颗粒大小及疏密程度将其分为:细线前期、细丝期、偶线期、粗丝期和双线期等阶段。



生精细胞凋亡以核变化最为显著,可出现核固缩型、边聚型、突出型、中空型、纤维型、破碎型、凋亡小体型、核膜膨胀型等形态变化。



临床意义:
初级精母细胞对有害因素敏感,是精液最常见的生精细胞之一,其排出量和形态学表现与睾丸生殖功能密切相关。


相关标签:
-
- 维港跨年烟花夜!
-
2025-12-23 02:33:57
-
- 双语天后 叶丽仪
-
2025-12-23 02:31:43
-
- 最新公示!
-
2025-12-23 02:29:29
-
- 怎么擦屁股才干净
-
2025-12-23 02:27:15
-
- 中国人想迎娶印尼女孩?这三点你必须要知道
-
2025-12-22 12:09:47
-
- 寻天下美食,品汉上溢香——梆梆面
-
2025-12-22 12:07:33
-
- 蒋勤勤不再隐瞒,说出婚姻真实内幕:对不起,让你们失望了
-
2025-12-22 12:05:18
-
- 一个民营企业界的“无冕”组织:揭开“泰山会”的神秘面纱(中)
-
2025-12-22 12:03:04
-
- 酒馆战棋人物志:诺米——我才是元素之王
-
2025-12-22 12:00:50
-
- 就在今天!张伯伦保持了57年的NBA纪录被追平了
-
2025-12-22 11:58:36
-
- “西部硅谷”绵阳,“三线建设”时期崛起。
-
2025-12-22 11:56:21
-
- 每日单词:conquest
-
2025-12-22 11:54:07
-
- 欧美百大女星4:Jessie Vard:跨越边界的星光,坠入人间的天使
-
2025-12-22 11:51:53
-
- 国羽女将于洋的争议人生:顶撞教练又怒摔毛巾,名誉尽损无法挽回
-
2025-12-22 11:49:38
-
- 96年台海危机,美国双航母战斗群近海挑衅,我国4枚东风导弹升空
-
2025-12-21 21:06:05
-
- 【甜品笔记】沙漠里的能量小炸弹 伊拉克蜜枣
-
2025-12-21 21:03:51
-
- 「新手」参与“比特币”挖矿的3种方式
-
2025-12-21 21:01:36
-
- 中山名镇:南头镇,28平方公里,20万人,GDP达167.4亿元!
-
2025-12-21 20:59:22
-
- 不会和面的看过来,这里有7种面食和面方法,学会了赶紧给家人做
-
2025-12-21 20:57:08
-
- 杨三姐:一个敢用生命做赌注去伸冤的柔弱女孩
-
2025-12-21 20:54:54



开封犹太人在中国17个姓氏,实际上只有七姓八家,现存6姓
我国南方和北方是怎么划分的,你知道吗?