女子宫外孕却不想治,强忍9年胎儿成了石胎,她被体内石胎“杀死”...
女子宫外孕却不想治,强忍9年胎儿成了石胎,她被体内石胎“杀死”...
前几天,纽约州立大学上州医科大学的内科专家瓦西姆·苏博士上报了一例罕见病例——
一位50岁的刚果妇女身怀死胎长达9年,胎儿钙化为“石胎”,而这位妇女也在不久前被体内石胎“杀死”…
根据医学报告记录,这位刚果妇女是从非洲逃难至美国重新安家的一位难民,在她因剧烈呕吐被送来医院就诊时,只向医生说明了自己胃痉挛、恶心呕吐的病症,对体内胎儿没有提及一句…
而她的刻意隐瞒,似乎和她早年坎坷的人生经历有关…

根据档案记录,这位妇女在幼时就因家乡发生战争冲突,被迫背井离乡流亡,从刚果迁居到布隆迪,又迫于生存压力再次逃至坦桑尼亚。
在坦桑尼亚安顿下来后,她与丈夫结婚组建家庭,接连生下八个孩子,全部都是自然分娩。
可能是当地医疗条件匮乏、胎儿营养不良等原因,其中三个孩子在出生不久后就夭折了…
在41岁那年,她再次怀孕,迎来了第九个孩子。几个月过去,她的小腹像前几回一样隆起,出现胎动…
但她没有察觉,这次胎儿形成的位置是在腹部,而不是子宫…
因为是异位妊娠,没有足够的血液供应到婴儿,这个素未谋面的孩子在第7个月时就胎死腹中了。

这位妇女并不知晓自己宫外孕,只是明显感觉到多日来她的腹部不再有胎动,十分反常,才去难民营里开设的一家诊所检查。
诊所的医务人员告诉她,她腹中的婴儿已经没有心跳了,但因为医疗条件有限,他们建议她先回家尝试自然分娩死胎,如果两周内无法分娩再返回诊所治疗…
两周后,女人自然分娩失败,打算重回诊所求助,可半个月时间过去,外面已经传出不少闲言碎语,只要她踏出房门,人们就会指着她的鼻子控诉她“干了坏事”、“杀了孩子”…
连诊所内的人也指责她吸毒、行为不检,导致孩子未出生就离世…
劈头盖脸的辱骂让女人心烦意乱,头也不回地逃回住处,从此只为去世的孩子默默祈祷,自己则拒绝一切治疗。
就这样,胎儿继续留在她的腹中,她带着7个月的死胎生活,腹部变得越来越坚硬,时常疼痛难忍,但她宁愿忍耐身体病痛,也不想再遭遇异样的目光和评价,坚决不靠近诊所一步…
一晃九年过去了,这名妇女再次被迫踏上漂泊之路,离开生活多年的坦桑尼亚,以难民身份前往美国。
到达美国后,她因剧烈的恶心呕吐被带去纽约一家诊所做检查。这时,除了腹部肿胀,她已经被“胃痉挛”折磨多年,明明食量减少,甚至几天不吃饭,但食物总是难以消化,身体常常咕噜作响…
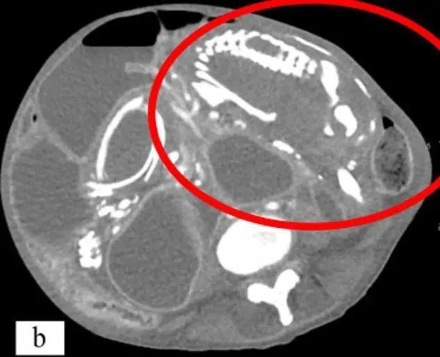
而CT检查结果显示,这些症状都是多年前留在体内的那只“死胎”造成的。

因为胎儿去世后一直留在腹部,免疫系统认为这只死胎对身体构成了威胁,对它发起猛烈攻击,于是,含钙的沉积物沉积在胎儿身上,逐渐将它包裹在钙化壳中,变成一块形似木乃伊的“石头”,也就是医学文献中记载的罕见出现的“石胎”。
根据目前的医疗病例记录,全世界出现过的“石胎”病例还不到300例。而且医学文献称,石胎对人体的影响因人而异,它可能不会引发任何症状,可以在体内保存长达60年不被察觉,也可能影响胃肠道和泌尿生殖系统。

曾经有一位被诊断怀有石胎的智利老人,92岁的埃斯特拉·梅伦德斯,就在不知情的情况下带着死胎生活了整整50年…
一直以来,医生的诊断都是她的腹中长了一个小“肿瘤”,直到92岁时因摔跤再次入院,这颗“肿瘤”才被发现是已经钙化的胎儿,胎儿重约2公斤,是一次流产手术的遗留物,但多年来她除了再没有生育,身体没有受到其他影响。

另一位82岁的哥伦比亚妇女,也在不知情的情况下怀石胎40年,一直以为自己只是患了肠胃炎,手术取出石胎后就逐渐康复了…

但根据CT显示,这位刚果妇女体内的石胎足足有“15*20cm”大小,在九年时间里不断压迫她的肠道,肠道阻塞使她时常腹部绞痛、剧烈呕吐、食欲不振,且无法吸收重要的营养,因此日渐消瘦,憔悴不堪…
本来在确诊后,医生劝说这位妇女立即接受手术,但遭到了拒绝…
也许是当年村里人和诊所人员闲言碎语的攻击为她留下了心理阴影,她连口服药都不愿服用,坚称这些痛苦都源于“坦桑尼亚有人对她施加了诅咒”…
医院安排了多次面谈,但她一直是抗拒的态度——“我准备好后会通知你们,我不怕死”,在苦口婆心的劝说下只勉强接受缓解胃部不适的抗生素。
最终,在抵达美国14个月后,这位刚果妇女在家中痛苦去世,死于严重的营养不良和拒绝就医…
在她去世前,肠梗阻频繁发作,绞痛、呕吐持续折磨着她,直到她对病痛“习以为常”,而曾在医疗诊所遭受的冷遇和白眼,让她更加坚信,只有信仰和祈祷能够打败“诅咒”…
也许医学可以解救病痛,但内心的苦难却是真正的药石难医,
只希望这位母亲和她的胎儿能够安息…
-
- 情侣冷战时男人的想法解析, 快看这里有没有你的男朋友。
-
2024-06-02 06:56:35
-
- 她因夜蒲系列而爆红 竟被爆4年交往19个男人?
-
2024-06-02 06:54:30
-
- 动了真心的男人,和你分手后,往往会有4种“反常”表现
-
2024-06-02 06:52:25
-
- 初恋对于一个男人到底有多重要,你知道吗?
-
2024-06-02 06:50:20
-
- 如何和高冷的妹子聊天开场,和高冷妹子聊天技巧有哪些
-
2024-05-26 22:21:32
-
- 情侣间怎样增进感情?告诉你增进感情的小妙招!
-
2024-05-26 22:19:27
-
- 女生相亲必问十个问题,切记问的时候一定要婉转
-
2024-05-26 22:17:22
-
- 女生对你说生病了,该怎么回复
-
2024-05-26 22:15:17
-
- 和女生聊天的30个话题,掌握以后,怎么聊都不会冷场
-
2024-05-26 22:13:13
-
- 和女生高情商聊天话术,跟女生高情商聊天术
-
2024-05-26 22:11:08
-
- 感情破裂的原因有哪些?感情破裂的原因!
-
2024-05-26 22:09:03
-
- 大学图书馆怎么搭讪妹子 6个技巧总有一个适合你
-
2024-05-26 22:06:58
-
- 追女孩的晚安短信,教你花式道晚安
-
2024-05-26 22:04:53
-
- 渣女暧昧表现有哪些
-
2024-05-26 22:02:48
-
- 女朋友问你在干嘛怎么回答?正确回复方法
-
2024-05-26 20:23:24
-
- 女朋友不爱我了怎么办?有的时候坚持还不如放手
-
2024-05-26 20:21:19
-
- 给女生要微信被拒绝了怎么办?要有无所谓的态度
-
2024-05-26 20:19:14
-
- 给女孩聊天不知道聊什么怎么办,8个聊天思路
-
2024-05-26 20:17:09
-
- 钢铁直女怎么追?追直女要暧昧吗
-
2024-05-26 20:15:04
-
- 网恋怎么维持感情也是一门学问,网恋如何保持长久
-
2024-05-26 07:39:32



青色标准色卡(青色标准色RGB)
地铁线路图昆明5号线(5号线来了快上车)